Bọc răng sứ

Chào mừng bạn đến với Nha Khoa KEN! Với các dịch vụ nha khoa thẩm mỹ chúng tôi cung cấp những giải pháp thẩm mỹ hiện đại nhất để giúp bạn có được nụ cười tự tin và rạng rỡ. Khám phá ngay các lợi ích, dịch vụ, quy trình và chi phí để tìm ra phương pháp phù hợp nhất cho bạn !

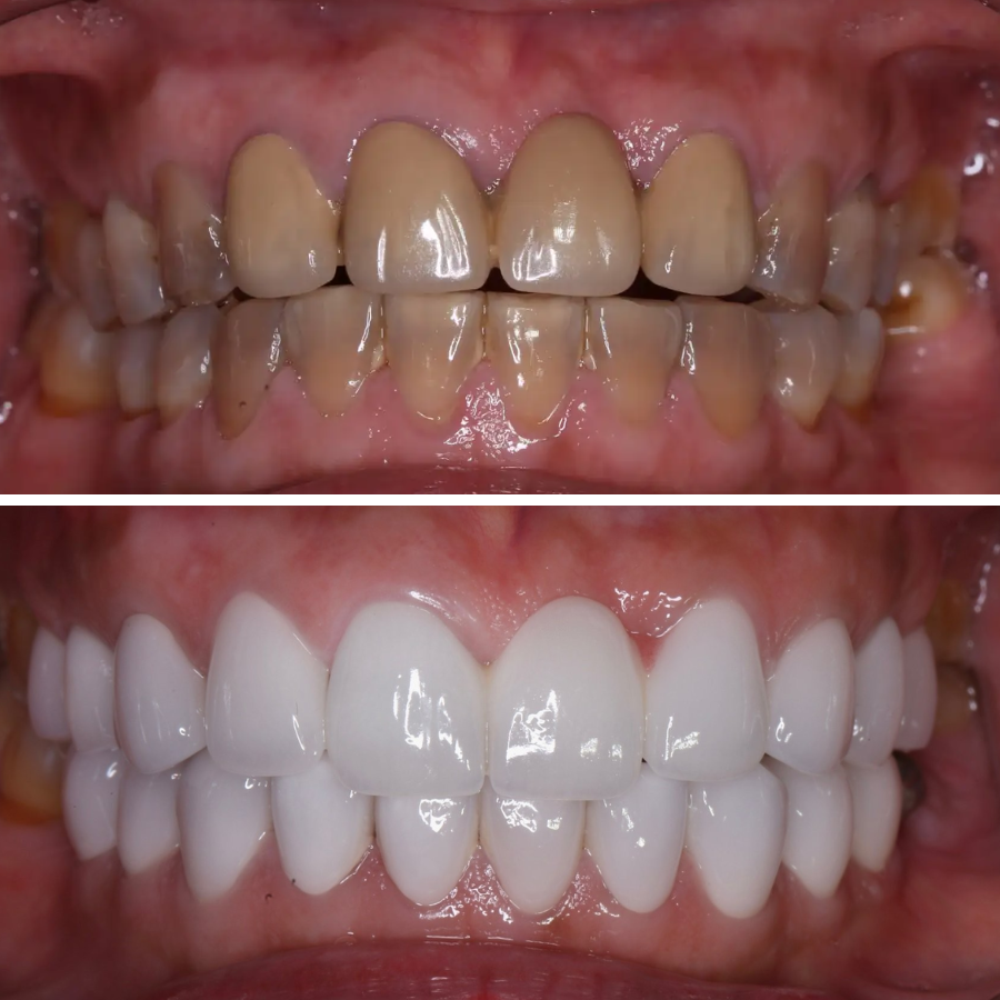
Bọc răng sứ là phương pháp phục hình nha khoa, trong đó bác sĩ thay thế lớp ngoài răng thật và mão răng sứ bên ngoài. Tại Nha khoa KEN, bọc răng sứ được thực hiện với công nghệ CAD/CAM 3D hiện đại, sử dụng sứ cao cấp, các bác sĩ tận tâm, chuyên môn cao lên phác đồ điều trị rõ ràng, kỹ thuật mài cùi răng chính xác, lắp mão sứ ôm khít nướu răng, kiểm tra kỹ càng đảm bảo không cấn cộm, thoải mái ăn nhai

Ai nên bọc răng sứ thẩm mỹ ?

– Người có răng xỉn màu, nhiễm tetracycline, mà giải pháp dán sứ veneer và tẩy trắng răng không khắc phục hết được.
– Răng bị mẻ, vỡ, sâu lớn hoặc trám nhiều lần cần bọc răng sứ để đảm bảo ăn nhai thoải mái.
– Răng thưa nhiều, khấp khểnh muốn cải thiện nhanh mà không cần niềng.
– Người muốn có hàm răng trắng sáng, đều đẹp, tự tin hơn khi cười.

Các Dịch Vụ Nha Khoa Thẩm Mỹ

Sự thật thú vị

Răng sứ có khả năng phản chiếu ánh sáng giống như răng tự nhiên, giúp tạo ra sự kết hợp hoàn hảo giữa thẩm mỹ và chức năng.

Lợi ích bọc răng sứ

QUY TRÌNH BỌC RĂNG SỨ

CHI PHÍ DỊCH VỤ BỌC RĂNG SỨ

DANH MỤC

GIÁ

ĐƠN VỊ

PHỤC HÌNH THẨM MỸ

  

Răng toàn sứ Diamond

3.500.000

răng

Răng toàn sứ Diamond Plus

5.500.000

răng

Răng toàn sứ Diamond HT

7.000.000

răng

Ưu đãi đặc biệt

Câu hỏi Thường gặp

Phản hồi khách hàng

4.98 Đánh giá từ khách hàng

Xếp hạng 4,9 sao dựa trên hơn 1200 đánh giá

Đặt lịch thăm khám